Cat Brains Offer Clues to Alzheimer’s
September 3, 2025
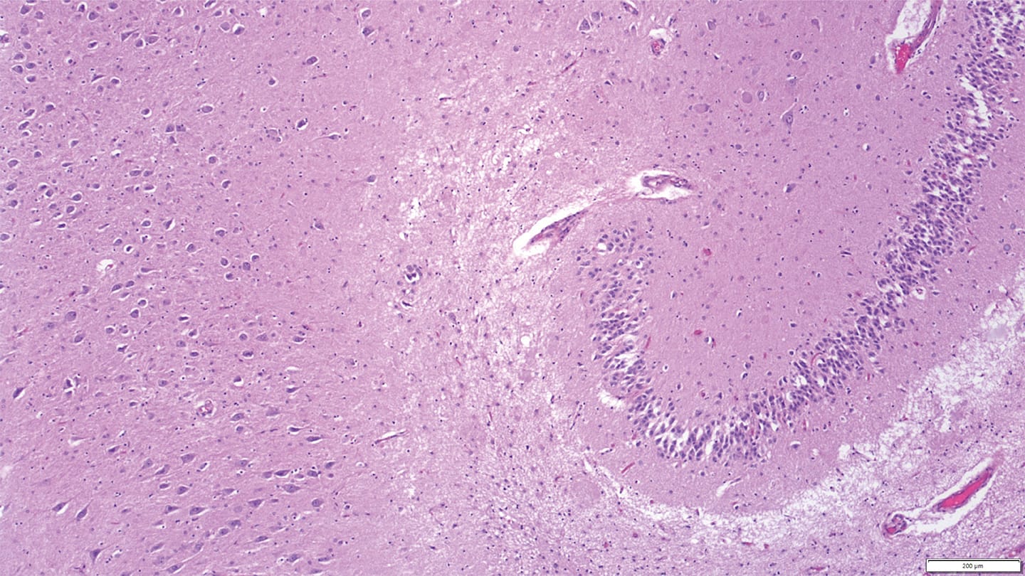
Feline dementia shares key pathological features with human neurodegenerative disease, study finds
2 min read
False
Research, trends, news, and views for your subspecialty
 
            September 3, 2025
Feline dementia shares key pathological features with human neurodegenerative disease, study finds
2 min read
August 11, 2025
Proteomic profiling of spinal fluid may provide the early diagnostic clarity of frontotemporal dementia in younger populations
4 min read
August 1, 2025
By Kathryn Wighton
Trained dogs are able to sniff out disease-positive sebum samples
1 min read
July 22, 2025
By Jessica Allerton
On World Brain Day, we examine the transformative role of diagnostics in neuroscience – and the urgent need to support the neuropathology workforce
2 min read
June 18, 2025
Researchers examine genetic and cancer-related factors in dementia reported years after a stroke
2 min read
June 18, 2025
Unexpected changes in “control” brains calls attention to underrepresentation in Alzheimer's research
2 min read
January 14, 2025
By Jessica Allerton
A new diagnostic marker and neuroprotective shield in neurodegenerative disease
2 min read
November 5, 2024
By Helen Bristow
How chemical changes in the brain could inform early diagnostic tests
1 min read
October 16, 2024
By Helen Bristow
Dementia biomarkers levels are shown to vary according to the time of day
1 min read
October 9, 2024
By Maggie Flanagan
It’s time to address reimbursement challenges in the field
3 min read
False
False
Dive deeper into the world of pathology. Explore the latest articles, case studies, expert insights, and groundbreaking research.
False