Please log in for more information
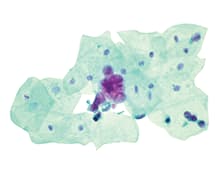
Zetiq, a fully-owned subsidiary of Micromedic Technologies, presents CellDetect®, an innovative staining platform using both color and morphology to discriminate between normal and neoplastic cells.
Applicable to a variety of specimens including histological tissues and cytological smears, CellDetect® highlights suspicious cells in red-purple, therefore enhancing accuracy and increasing throughput.
CellDetect® Bladder cancer kit for the monitoring of bladder cancer recurrence in urine specimens provides high sensitivity, particularly for the detection of low grade tumors. Suitable for both liquid-based and conventional cytology, the technology uses standard lab staining processes and is potentially applicable for digital cytopathology.



Visit website
Contact Information:
Micromedic Technologies Ltd.Kyriat Atidim, Building 3
Tel Aviv 6158101, Israel
Phone: +972-73-2753450
Fax: +972-73-2753451
Email: info@m-medic.com
