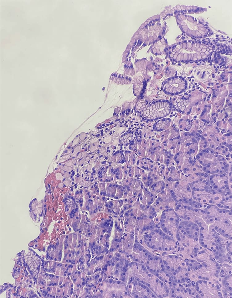
This slide, taken from a prophylactic gastrectomy, shows a small focus of signet-ring cell (poorly cohesive) gastric adenocarcinoma involving the stomach body in a patient with a CDH1 germline mutation. This rare cancer is highly aggressive and its characteristic signet-ring cells feature mucin-filled vacuoles with eccentrically placed nuclei, grow in sheets, can be difficult to identify, and present a challenge for noninvasive diagnostic approaches.
