Tariq Sadiq
Consultant Physician in Sexual Health and HIV Medicine and co-author of the British Association for Sexual Health and HIV National Guidelines for the Management of Infection with Neisseria gonorrhea.
False
Consultant Physician in Sexual Health and HIV Medicine and co-author of the British Association for Sexual Health and HIV National Guidelines for the Management of Infection with Neisseria gonorrhea.
May 8, 2019
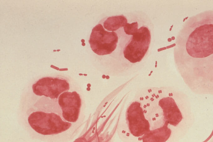
In light of the newest treatment guidelines, Suneeta Soni and Tariq Sadiq discuss the challenges of diagnosis, treatment, and resistance in gonorrhea
1 min read
Dive deeper into the world of pathology. Explore the latest articles, case studies, expert insights, and groundbreaking research.
Receive the latest pathologist news, personalities, education, and career development – weekly to your inbox.

False
False
Affiliations:
Specialties:
Areas of Expertise:
False